
Importance of pathology in swine diagnostics
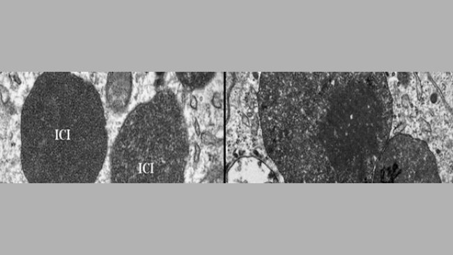
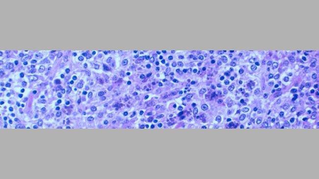
Histopathology can provide a strong framework to establish the real causality of a clinical problem.
The pig sector events all around the world
Weekly newsletter with all the pig333.com updates
Swine industry news in your email
Pig health: news and articles on PRRS, PCV2, biosecurity, etc, Pig disease guide, atlas of pathology, clinical cases…
Biocheck.UGent is an independent, risk-based, scientific scoring system for assessing the quality of your on-farm biosecurity.
A visual and practical step-by-step guide on how to perform a necropsy on a pig.
All the information about ASF: how to recognize the disease, how it is transmitted, pictures of lesions, latest news, guides, etc.
All the information on Foot and Mouth Disease in pigs: how to recognize the disease, how it is transmitted, images of lesions, latest news, guides,...
Description of the most important diseases and conditions in pigs
Images of major swine diseases
Pig disease diagnostic tool
Definition for the most commonly used pig terms
Simulator that calculates the amount of drug to add to the water when using a flow dispenser.
Weekly newsletter with all the pig333.com updates
Pig Prices by countries. Pork production and trade. News of the pig market and the raw materials
The latest slaughter pig prices in the most important pig markets. Check the evolution of the historical prices in charts and in several currencies.
Latest quotations for the main commodities used in pig feed. Historical graphs with the pig price and estimated feed price.
Figures & trends in pig numbers, pork production and pork trade.
Global production and trade data for the most important raw materials
Weekly newsletter with all the pig333.com updates
Articles on nutrition and pig feeding, characteristics of raw materials and additives for pig feed. Prices of raw materials
Latest quotations for the main commodities used in pig feed. Historical graphs with the pig price and estimated feed price.
Technical sheets of the main raw materials and additives used in swine feed. They include a comparison of nutritional values from various sources, product
Global production and trade data for the most important raw materials
Definition for the most commonly used pig terms
Use this tool to diagnose problems with the feed conversion ratio. Click on the flowchart or on the buttons within the text to navigate through the different parts of the tool.
A biweekly newsletter with the latest developments in swine nutrition
Articles on genetics and pig reproduction: genetic improvement, genomics, artificial insemination, use of hormones
Compare production data, calculate the number of sow, nursery, and finishing spaces, and visualize your tasks on the work schedule by type of BMS.
Tool that allows you to calculate the replacement rate in your farm
Definition for the most commonly used pig terms
Use this tool to find out why your farrowing rate is less than ideal. Click on the flowchart or on the buttons found within the text to navigate through the different parts of the tool.
Weekly newsletter with all the pig333.com updates
Management, pig farm management, work planning in each production stage: management in gestation, grow finish, batch farrowing
Compare production data, calculate the number of sow, nursery, and finishing spaces, and visualize your tasks on the work schedule by type of BMS.
Tool that allows you to calculate the replacement rate in your farm
Definition for the most commonly used pig terms
Weekly newsletter with all the pig333.com updates
Design of facilities and equipment for pig farms: building design, climate control, feeding systems, etc.
Biocheck.UGent is an independent, risk-based, scientific scoring system for assessing the quality of your on-farm biosecurity.
Environmental Footprint Calculator along the pork value chain.
Definition for the most commonly used pig terms
Simulator that calculates the amount of drug to add to the water when using a flow dispenser.
Use this tool to explore which slurry management strategy best fits your situation. Click on the flow chart or on the buttons within the text to navigate through the different parts of the tool.
Weekly newsletter with all the pig333.com updates
What makes us stand out is the quality and independence of our contents. Find out about the authors who make it possible. Our goal is to generate a virtual community of advanced users in the sector.
Joaquim Segalés i Coma was born in Vic (Barcelona) in 1968, he graduated at the Veterinary Faculty of the Universitat Autónoma de Barcelona (UAB) in 1991. He then received a doctorate in Veterinary Science in 1996 at the same university after having spent 15 months at the University of Minnesota (UM) in the USA, under the codirectorship of Dr. Mariano Domingo (UAB) and Dr. Carlos Pijoan (UM). In 2000 he achieved a diploma at the European College of Veterinary Pathology (ECVP). In year 2004 he graduated at the European College of Porcine Health and Management (ECPHM), of which he is a founding member and its current vice-president. He currently works as professor at the Department of Animal Anatomy and Welfare at the Veterinary Faculty of the UAB, where he teaches in the area of pathologic anatomy and porcine clinic. He is also the Director of the Centre de Recerca en Sanitat Animal (CReSA).
Dr. Segalés has taken part in numerous research projects, at both a national and a European level. He is especially skilled in different porcine diseases and has collaboration agreements with different enterprises, both national and European, that are involved in the sector. Of the many lines of research that he has participated in, the most important are the Porcine Reproductive and Respiratory Syndrome Virus (PRRSV), Haemophilus parasuis, the Aujeszky Disease Virus (ADV), the Hepatitis E Virus (HEV), torque teno sus virus and diseases associated with Porcine Circovirus type 2 (PCV2). It is also worth mentioning that Dr. Segalés participated in the first identification in Spain of the Post-weaning Multi-System Wasting Syndrome or Porcine Circovirus in 1997 and of the Porcine Dermatitis and Nephropathy Syndrome in 1996. As a result of these investigations he is the co-author of more than 200 articles published in international scientific journals, as well as being co-author of ten chapters of books with international prestige of which perhaps the most important is Porcine circovirus diseases in the 9th and 10th edition of the book Diseases of Swine. He is also the co-author of a book on swine livestock necropsy as well as three books on clinical cases in swine.
Updated CV 14-May-2013

Histopathology can provide a strong framework to establish the real causality of a clinical problem.

Detection of lung lesions in slaughtered pigs also allows estimation of economic losses.

Depending on the levels of maternal derived immunity, a potential interference of vaccine intake may happen, jeopardizing vaccine seroconversion and efficacy.

Collecting data at the slaughterhouse is a common method to obtain information on health and productive parameters, mainly from the last weeks of a pig’s life.

We are finding more evidence of the possible role PCV-3 plays in certain reproductive problems.

Serious problems occurred much less frequently with genotype a than with genotype b. Why did the frequency of these genotypes change?

In the years since the PCV-2 vaccine was introduced to solve the enormous problem caused by circovirus, what do you think has changed and how does it affect farms?

Gilt acclimation was performed in 78% surveyed European farms; vaccination, alone or combined with natural exposure to infected animals, was the main used strategy.

The average piglet birth weight from the 3 groups of vaccinated sows was statistically higher than that from the unvaccinated sows.

All available vaccines in the European and North-American market are based on PCV2a genotype, while the most prevalent ones are PCV2b and PCV2d ones. Although significant level of cross-protection among these three genotypes has been demonstrated, it would be interesting to assess if vaccine efficiency would be equivalent in front of all these different genotypes.

This article deals with the factors to be considered for deciding the optimal time of vaccination against PCV2 and shows the results of a study that evaluates the efficacy of different vaccination programs in PCV2 subclinically infected piglets.

Recently, PCV2 has been suggested as a pathogen able to induce diarrhoea in pigs, and PCV2-enteric disease (PCV2-ED) as a separate entity within porcine circovirus diseases (PCVDs) has been proposed.

The loss associated with decreased ADWG was of 13.1 € and 7.5 €/pig at 21 weeks of age for pigs with high and medium serum PCV2 load under the scenario studied.

The virus is highly resistant in the environment, showing also high resistance to chemical and thermal treatments.

Might be there is a little doubt nowadays on the beneficial clinical and economic effects of PCV2 vaccination in subclinical infections in piglets, but… which is the role that sows play in the whole picture?

Experimental Mhyo and PCV2 co-inoculations have resulted in somewhat divergent results.
Welcome to 333
Connect, share, and interact with the largest community of professionals in the swine industry.
Celebrating 193902Users on 333!
Sign upAlready a member?



