Intestinal parasitism - Atlas of swine pathology

Where: digestive system, intestines
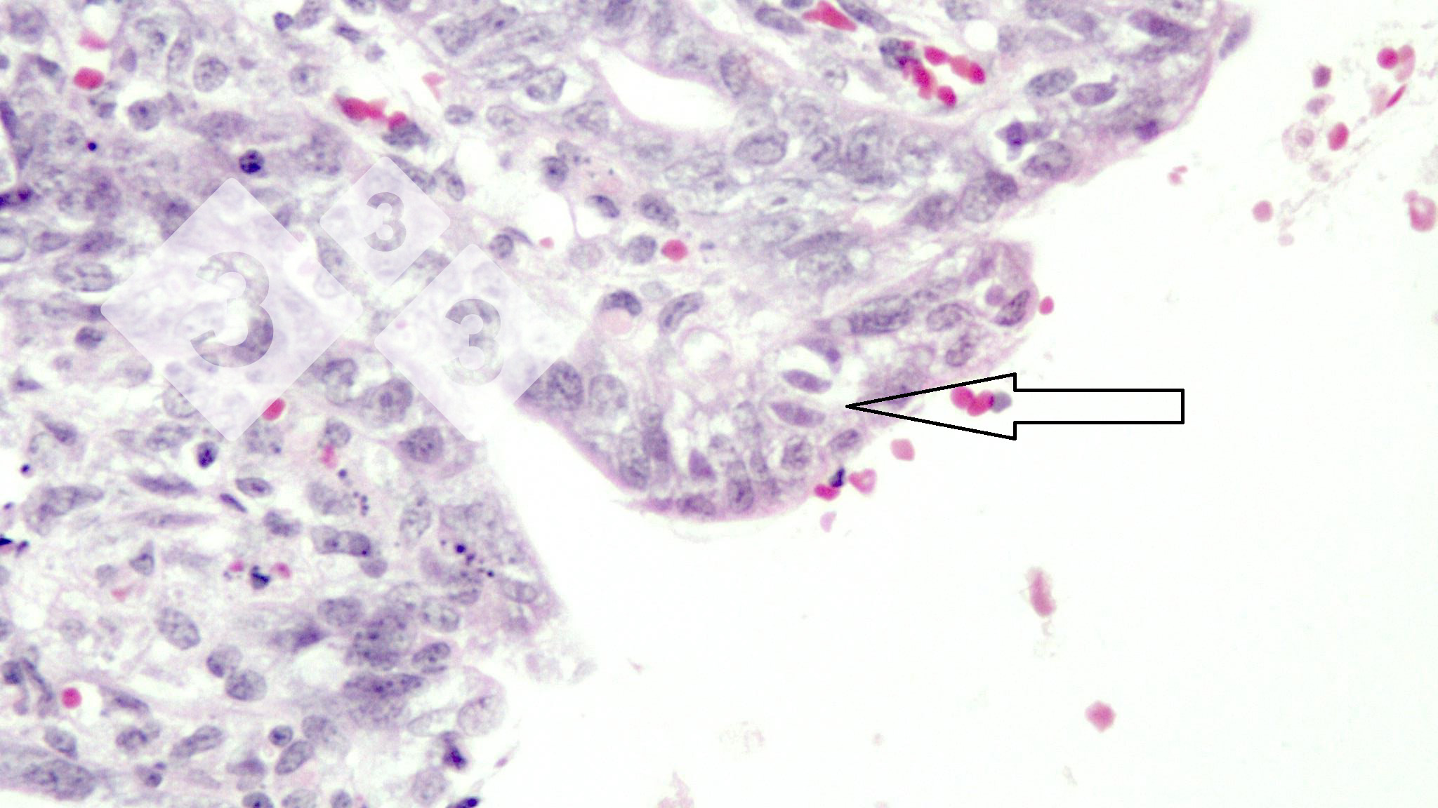
Possible causes: Coccidiosis
These organisms are Isospora suis, the common form of coccidiosis in pigs. Most affected piglets are one to two weeks-old and appear thin with a poor body condition. Isospora suis develops in the cells of the intestines of neonatal piglets over several days and causes damage to the lining of the intestine. The disease is often worse in warmer weather, when oocysts survive better in the lactation pens. The faeces of the affected piglets are often soft, creamy and pasty and grey to yellow, resembling toothpaste. Piglets in litters from both sows and gilts can be affected. At autopsy, the intestines have a pasty to liquid contents and a pale chalk-like appearance to the inner mucosal surface of the middle of the small intestine. Samples of the intestine require careful histologic examination of the epithelial cells to visualise these twin banana-shape coccidian forms.







































































































































































































































































































































